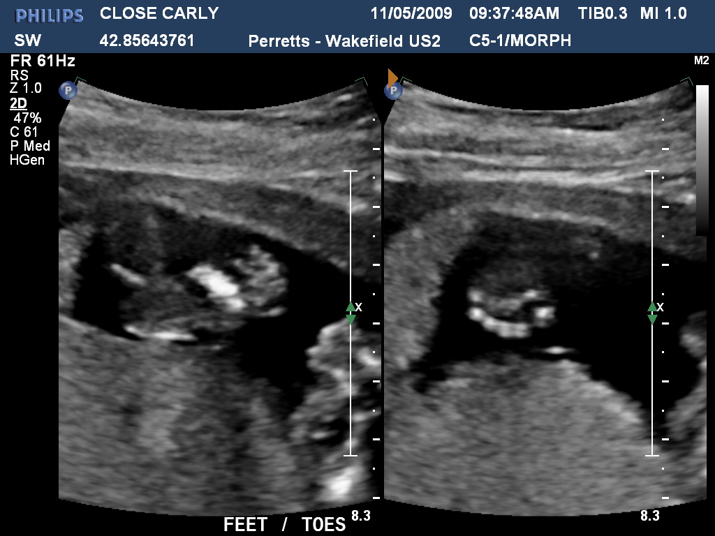
19 weeks and counting
Wow how time flies! Carly is now 159weeks pregnant and now definately showing. Last week we had the first real scan and got to see hands and feet, the bub was quite active and gave the radiologist a hard time! Below are a few photos of both the bub and the expectant Mum to be!





Big Sis said,
Hi there
Nice to finally see my sister in law fat!…but looking good. Photos of bub are amazing!
Love to All
X
Add A Comment